Crowns and Bridges in Grapevine
A broken or missing tooth can create anxiety and discomfort in day-to-day life. At Grapevine Dental, we strive to restore the comfort and beauty of your smile so that you can feel more confident and enjoy all of the delicious foods you love.
We know that many of our patients feel some level of anxiety when it comes time for their dentist visits. Dr. Michael Colangelo and our entire team look forward to turning those negative feelings into a positive experience when it comes to your oral health with gentle, compassionate dental care.
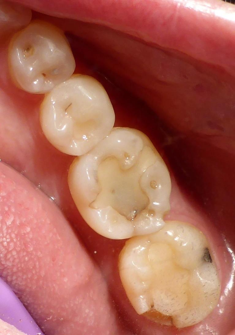
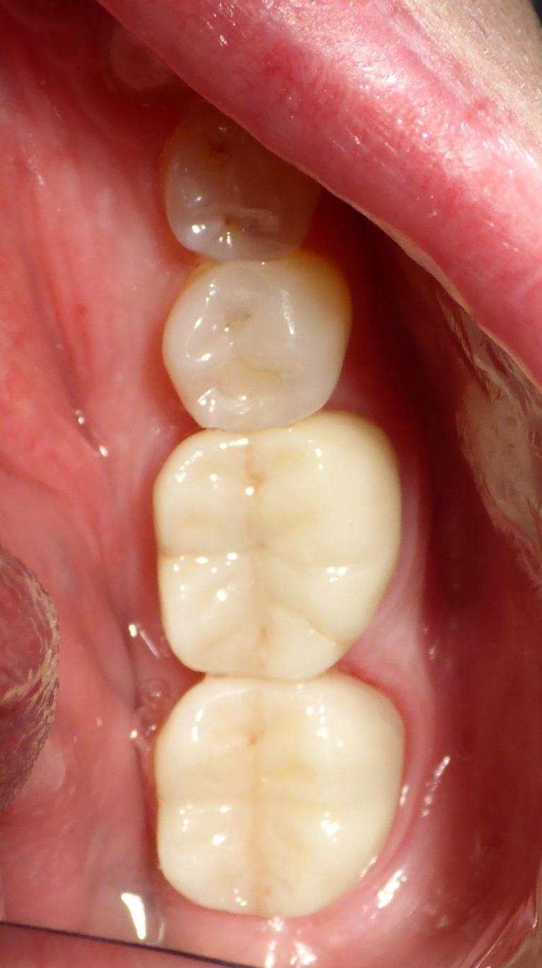
Dental Crowns to Repair Damaged Teeth
A cracked or deeply decayed tooth may require treatment with a dental crown. Unlike a filling, a crown (or cap) completely covers your natural tooth structure and absorbs the force of chewing.
Before we begin any treatment, we will make sure to completely numb your tooth. We even offer nitrous oxide for those patients who need a little help relaxing.
Durability and Esthetics
We use BruxZir® crowns in our Grapevine dental office because they provide unsurpassed strength combined with esthetics. BruxZir® crowns are the most technologically advanced crowns available in the dental market today.
Made of durable zirconia, BruxZir® crowns reliably resist fracture while maintaining a natural appearance that blends perfectly with your smile. They even work well on posterior teeth, which bear most of the brunt of chewing. BruxZir® crowns eliminate the need for unsightly metal restorations.
When planning your dental crown, we use digital scanning impressions for increased accuracy and greater patient comfort over old-fashioned, uncomfortable, and gooey impression material. We custom design each crown for perfect fit and function as well as the highest level of esthetics.
Once Dr. Colangelo places your dental crown, he will make all of the final adjustments necessary to ensure your bite feels comfortable and your teeth come together properly. Your crown will look radiant, beautiful, and flawless.
Fixed Dental Bridges to Replace Missing Teeth
A missing tooth makes it difficult to eat, speak, and smile properly. Having a gap between your teeth is never ideal, but some patients are unsure about how to proceed with so many choices available.
Fixed dental bridges reliably replace missing teeth and fill the gap in your smile by anchoring an artificial tooth in place using crowns on two healthy adjacent teeth.
Your dental bridge will blend in with your smile and improve your ability to eat a wider range of foods. Replacing missing teeth also prevents your teeth from shifting, which can lead to additional problems with your bite.
Contact Us to Schedule a Dental Appointment
If it’s time to address some of your dental discomfort or the appearance of your smile and you want a dental professional who prioritizes patient health and comfort, you have come to the right place!
We look forward to receiving your call and exceeding your expectations with the personalized dentistry you deserve.