Cosmetic Dentistry in Grapevine
Don’t let missing, crooked, or stained teeth hold you back another day. In our Grapevine, TX dental office, we want to help you smile with confidence and encourage you to lead your best life through cosmetic dentistry in Grapevine, TX. If you have ever considered improving your smile, now is a great time to take action. Currently, we have several cosmetic options to fit a variety of budgets.
Dr. Michael Colangelo helps patients achieve their goals for their appearance every day by addressing their big concerns and developing treatment plans that result in gorgeous, natural-looking smiles.
Getting started is easy. Contact Grapevine Dental at (817) 481-1813 to schedule your Grapevine, TX cosmetic dentistry appointment. During this consultation, you can discuss your concerns and what you would like to change about your smile. You can even share some pictures of smiles that you admire.
After your exam, Dr. Colangelo will discuss the cosmetic dental services that will help you achieve your goals for your smile. If you have any questions, see the list of most frequently asked queries below. If your question isn’t addressed here, give us a call!
- What types of cosmetic dentistry do you offer?
- Is cosmetic dentistry painful?
- How do professional teeth whitening treatments work?
- Does cosmetic dentistry look natural?
- What are porcelain veneers?
- How do dental implants work?
- Is Invisalign right for me?
- What is a full smile makeover?
- How do I care for my restorations?
- How do I learn more about beautiful smiles in Grapevine, TX?
What types of cosmetic dentistry do you offer?
At Grapevine Dental we offer all types of cosmetic dentistry—everything from simple teeth whitening to full smile makeovers. And you can choose the services you want based on your smile goals.
We offer:
- Professional teeth whitening
- Tooth-colored restorations
- Porcelain veneers
- Dental implants
- Invisalign clear braces
- Full smile makeovers
Is cosmetic dentistry painful?
Our personal approach to dentistry puts patients at ease without the need for sedation dentistry, though we do offer nitrous oxide as a courtesy for patients who need it. When done properly, local dental anesthetic will eliminate any pain you feel during your procedure.
Dr. Michael Colangelo prides himself on making even the most fearful patients feel completely comfortable.
He begins by explaining everything before he does anything, so you know exactly what to expect. He will communicate with you throughout your appointment to make sure you stay comfortable at all times. He is an expert at anesthetizing, so you won’t feel a thing.
Most of our patient reviews include praise regarding the comfortable care they have received in our office. So many of our patients are actually shocked at how comfortable and relaxing their appointments are. It really puts a smile on our faces when we can turn those negative feelings of the past into the rave reviews we receive.
How do professional teeth whitening treatments work?
Professional teeth whitening treatments in Grapevine, TX are far more effective than pastes or strips you’ll purchase in stores. Additionally, we don’t recommend using any bleaching system if you are not under advisement to do so by dental professionals.
In our dental office, our team will take impressions of your teeth to create custom teeth whitening trays for you to use conveniently at home along with our whitening gel. You will be provided with instructions on how to use your trays, too.
You can expect dramatic results, especially if your teeth are stained due to coffee consumption or tobacco use. Even if you don’t have such lifestyle habits, you can still benefit from teeth whitening because common foods—even some of the healthiest ones—can cause stains on your teeth.
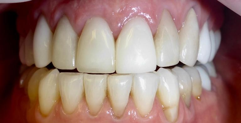
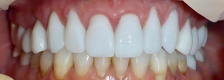
Does cosmetic dentistry look natural?
At Grapevine Dental, we use tooth-colored restorations in our Grapevine, TX dental office. This means your restorations, veneers, bridges, and crowns can be colored to match your smile.
We can also replace silver restorations with aesthetic tooth-colored options to spruce up your smile. Silver fillings and crowns with dark margins can severely impact your smile and make you feel self-conscious when laughing or speaking. We offer tooth-colored fillings and the most aesthetic and durable crowns available—Bruxzir® crowns.
Remember, modern restorative dentistry does not have to result in overly white, fake-looking teeth that scream that you have just had a trip to the dentist. Dr. Colangelo designs smiles that look like you were born with them—only better.
What are porcelain veneers?
If you flip through magazines and see celebrities with bright, white smiles and even bite alignments, there is a good chance you’re looking at porcelain veneers. These have been a Hollywood staple for years.
For teeth that have significant wear or just don’t look as uniform as you would like, porcelain veneers in Grapevine, TX can provide a beautiful, natural look. Dr. Colangelo will help you choose the right shade, shape, and length of teeth so that they function properly and complement your skin tone and facial structure.
Porcelain veneers cover the front of your natural tooth and correct the appearance of crooked or misaligned teeth and even help with gummy smiles. Creating veneers can take as little as two dental appointments.
Our patients love our porcelain veneers, and we welcome you to join the long list of satisfied Texans.
How do dental implants work?
Dental implants are simply the best tooth replacement options available today.
The process starts with an assessment by our top Grapevine, TX cosmetic dentist. If you’re a good candidate for dental implants, the next step is implant placement. This requires small titanium posts surgically implanted in your gum. These posts bond with your jawbone over time to create a natural foundation for restoration teeth or crowns.
A crown is a tooth replacement that fits over an existing tooth or an implant post. It looks natural and functions like a real tooth.
With dental implants, you can have one implant, a couple of implants or, if you have multiple missing teeth, a few implant posts can support a bridge of teeth or even an entire denture.
Implant posts not only restore your smile, but they restore your bite and help you enjoy your favorite foods again.
Is Invisalign right for me?
At Grapevine Dental, our Grapevine, TX dentist carefully assesses your health profile to determine whether you’re a good candidate for Invisalign clear braces. In some cases, an alternative therapy may be recommended.
If you’re found to be a good candidate, our skilled dentist begins the Invisalign process.
Invisalign represents a modern approach to traditional braces. The Invisalign approach means there are no wires or metal to scratch your cheeks or gums. The clear aligners are made of soft plastic for a more comfortable and discreet fit. Additionally, you can remove your aligners for better brushing and flossing and while eating.
The process calls for taking a careful mold of your mouth. This mold is used to create your custom Invisalign aligners. Every few weeks, we change your aligner to straighten your teeth over time.
Because Invisalign relies on low pressure to bring teeth in line, the process is not painful. In fact, our patients love the comfort and the discretion of Invisalign.
What is a full smile makeover?
Teeth can become damaged for any number of reasons including:
- Trauma
- Sporting mishap
- Poor oral hygiene
- Genetics
- Lack of dental care
At Grapevine Dental, we will not judge you. We simply want to put your smile back together. This means healthy teeth, but also an aesthetically appealing smile that you can be proud of.
Our Grapevine, TX cosmetic dentist pulls from his general and cosmetic dentistry arsenal to put together a comprehensive treatment and procedure plan to repair your smile.
This could include veneers and periodontal treatments, a professional teeth whitening coupled with a dental implant.
A full smile makeover in Grapevine, TX can rebuild your teeth and bite for a more attractive smile and better function.
By combining several types of restorations or even replacing lost teeth with dental implants, you can have the smile of your youth again.
How do I care for my restorations?
Following treatments and procedures in our dental office, our team always provides instructions on how to care for your restorations or how to get the most out of your professional teeth whitening investment.
A good rule is to continue visiting our dental office regularly and to adhere to all aftercare instructions following a treatment or procedure.
Remember, restorations do not protect against gum disease. A good oral hygiene plan and regular dental visits—usually twice per year—is the best course to keep your restorations viable.
How do I learn more about beautiful smiles in Grapevine, TX?
We are here to answer all of your questions, and we have cosmetic dentistry options to meet every budget and lifestyle. Call our Grapevine, TX dental office today and take the first step toward improving your confidence with a gorgeous, natural-looking smile.