Grapevine Dental
Our website has changed. Please visit us at our new website: grapevine-dental.com 

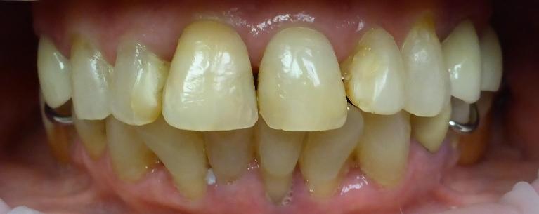
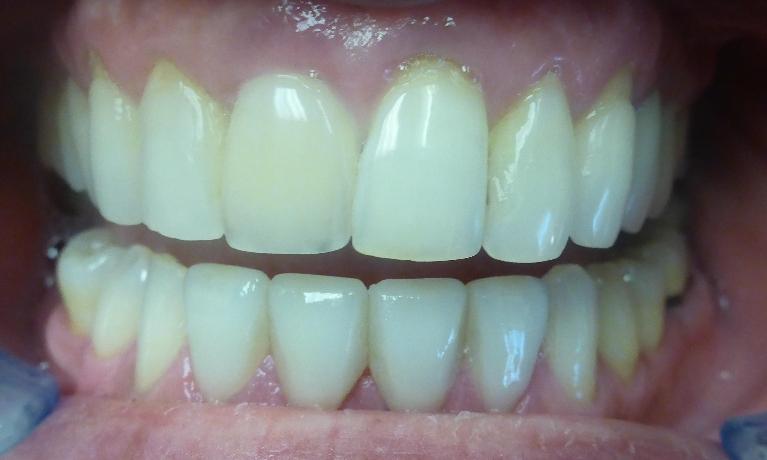
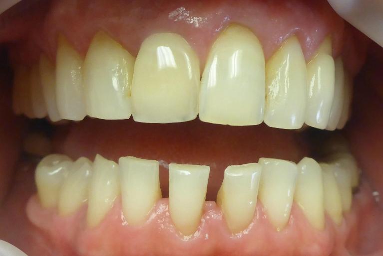
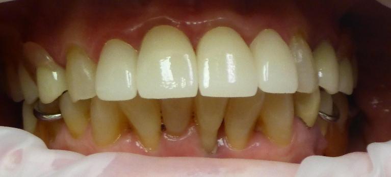
Smile Gallery

Seeing is believing!

We are proud of the beautiful dentistry we provide. It truly changes people's lives by giving them confidence in their appearance.

Check out our before and after photos to learn more about the possibilities for your smile. If you are ready for a change, give us a call!

Ready to book an appointment?
Grapevine Dentist Patient Testimonial - Could Not Recommend a Dentist More Highly!
If you have difficulty using our website, please email us or call us at (817) 668-6333
View the ADA Accessibility Statement