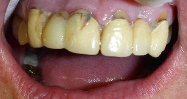
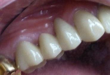
Seeing is believing!
We are proud of the beautiful dentistry we provide. It truly changes people's lives by giving them confidence in their appearance.
Check out our before and after photos to learn more about the possibilities for your smile. If you are ready for a change, give us a call!
Smile Gallery Categories
 
 
 
 
 
