Porcelain Veneers in Grapevine TX
A beautiful smile that makes you feel great about the way you look is priceless. In social and professional settings, confidence can help you stand out and feel free to express yourself with a beautiful smile.
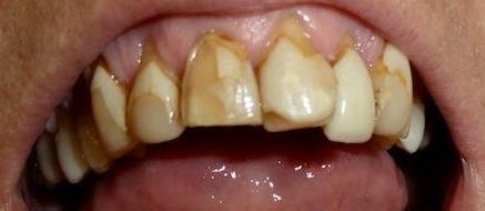
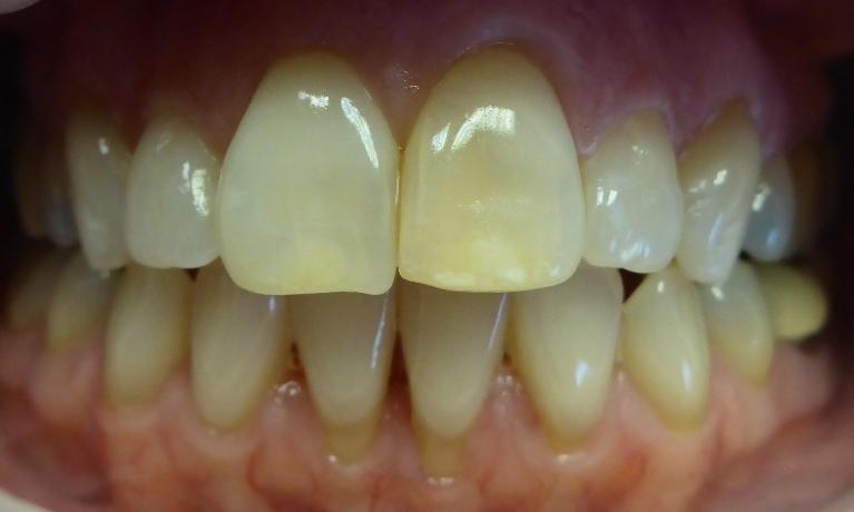
Many of us are not fortunate enough to have been born with a beautiful smile, or we have teeth that show wear, age, and signs of trauma. Porcelain veneers can change all of that by providing a bright, straight, more uniform appearance – all with one treatment. Grapevine Dental can make it happen.
What Are Porcelain Veneers?
Picture a thin shell shaped like a tooth. This is the best way to describe a porcelain veneer.
It is a dental restoration that looks like a natural tooth and fits directly over the front of your tooth structure. Porcelain offers both esthetics and durability. Dr. Colangelo expertly designs veneers to look natural and uniform for each patient. No two veneers are ever alike.
Here are some of the cosmetic dentistry issues we can correct with veneers:
- The appearance of misalignment
- Gaps between teeth
- Worn, chipped, and damaged teeth
- Stubborn discoloration
- Lack of uniformity
Often, veneers provide the most beautiful and dramatic results for patients seeking a more esthetic smile.
Planning Veneer Treatment
Dr. Colangelo will plan your new smile meticulously, so that your results look and feel amazing. The number of veneers required to achieve your desired results will depend on the condition of your natural teeth and the shape of your smile. We have provided great results for single veneers as well as eight, or even more.
Every smile is different, so your veneers complement your facial structure, hair color, skin tone, and gender. You will have an opportunity to discuss your ideal smile with Dr. Colangelo, so that he can use his scientific and artistic ability to design a smile you love.
To make room for your veneers, Dr. Colangelo will polish the surface of your teeth. This keeps your veneers from looking too bulky or thick. He will permanently seal your veneers to your teeth and adjust the bite, if necessary. Because veneers are thin and made just for you, you will grow accustomed to them quickly, even if your teeth were worn down in the past.
Caring for Porcelain Veneers
Think of veneers like your natural teeth. You should never bite into anything excessively hard or sharp because it could damage the porcelain or dislodge your restoration. You may also want to wear a nightguard if you grind your teeth to better protect your investment.
Regular dental cleanings and diligent home care round out your routine and will prolong the life of your teeth and your dentistry.
Are You Ready for That Perfect Smile?
Veneers are easier and more affordable than you might first imagine. Contact Grapevine Dental to set up a cosmetic dentistry consultation with Dr. Colangelo. Our patients truly appreciate his kind nature, expertise, and experience when it comes to designing the perfect smile.