Our website has changed. Please visit us at our new website:
grapevine-dental.com
Grapevine Dental
A Great Dentist
Schedule an Appointment
Like us on Facebook
Visit us on Yelp
Leave a Google Review
(817) 668-6333
1015 West Wall Street
Dentist in Grapevine, TX
Home
Meet Us
Our Team
Dr. Danesa Nunez
Technology
Office Pictures
Services
View All
General Dentistry
Cosmetic Dentistry
Emergency Dentistry
Dental Implants
Crowns and Bridges
Invisalign Clear Braces
Dentures and Implant-Retained Dentures
Porcelain Veneers
Root Canal Treatment
Tooth-Colored Fillings
Smile Gallery
Testimonials
Patient Info
View Patient Info
Your First Visit
Forms
FAQs
Blog
Financial
Contact
Grapevine Dental
>
Smile Gallery
>
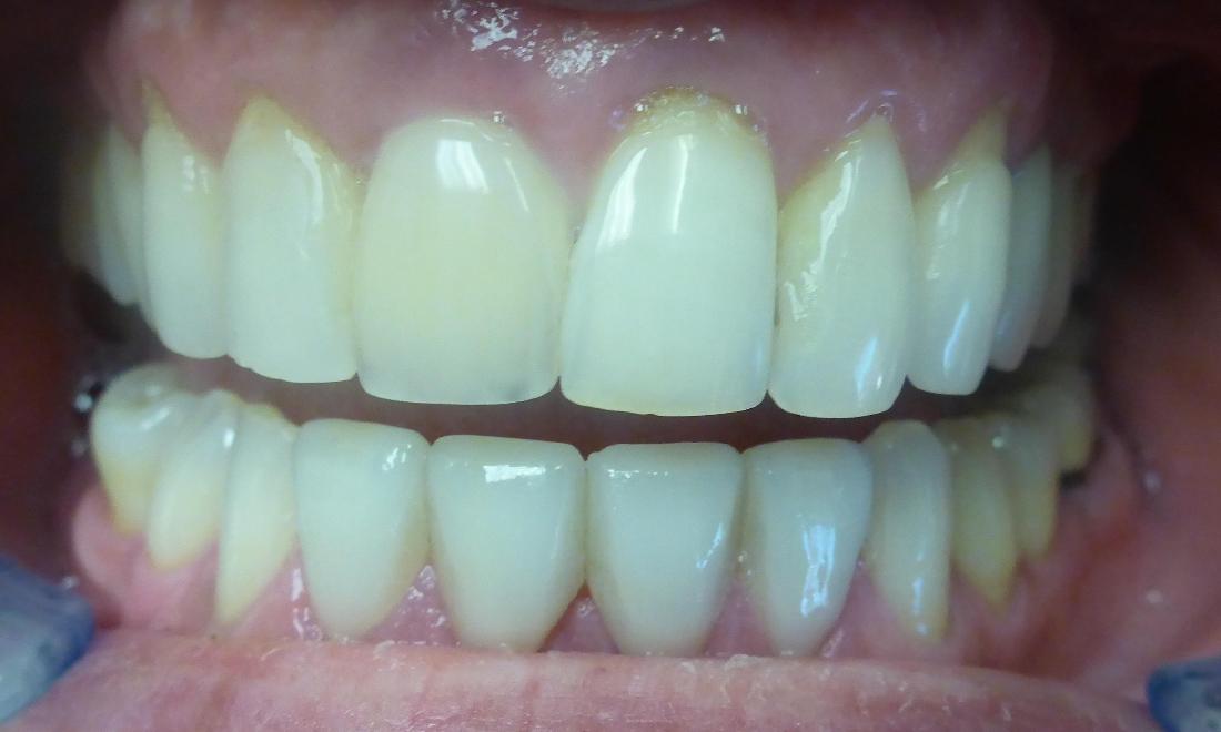
Veneers (Bottom)
Veneers (Bottom)
Return to Smile Gallery
Previous
Next
Before
After
Getting an appointment is
fast
and
easy
!
Get Started!
If you have difficulty using our website, please
email us
or call us at
(817) 668-6333
View the
ADA Accessibility Statement
Turn on ADA Views
Privacy Policy
OK!
×
Our website has changed. Please visit us at our new website:
grapevine-dental.com
×
Contact Us Today
Give Us A Call
Grapevine Dental -
(817) 668-6333
Send Us an Email
Request an Appointment
Contact Us
Ready to Schedule an Appointment?
Book Online
Have Questions? Contact Us:
Required Field
Your Name:
Phone:
Email:
Are you a new patient?:
Are you a?
New Patient
Current Patient
How would you like us to contact you?
Please choose
Email
Call
How did you hear about us?
Please choose
I'm an existing patient
Google/Bing
Mailer
Word of mouth
Social media
Other
Who Referred You?:
Appointment Preferences
Monday
Tuesday
Wednesday
Thursday
Friday
Your Message:
This site is protected by reCAPTCHA and the Google
Privacy Policy
and
Terms of Service
apply.
Sending...
×
This Patient's Experience
Loading Testimonial...
Loading Case...