Grapevine Dental
Our website has changed. Please visit us at our new website: grapevine-dental.com 

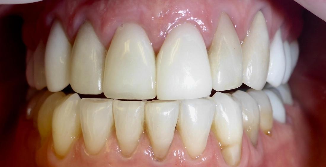
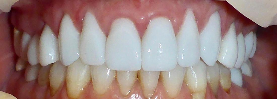
Patient was Unhappy With Previous Cosmetic Dentistry (Top)

This patient wanted to transform her top teeth. She had previously had cosmetic work done but was unhappy with the shape and color. Her goal was a movie star smile while still retaining a natural appearance. Our top dentist, Dr. Colangelo, and the senior staff worked tirelessly with her over a series of visits and settled on this beautiful smile!

Related Services:

Cosmetic Dentistry
Still need an appointment?
If you have difficulty using our website, please email us or call us at (817) 668-6333
Privacy Policy